Se familiariser avec le psoriasis en plaques
Qu’est-ce que le psoriasis en plaques2?
Le psoriasis en plaques est une forme courante de maladie inflammatoire chronique de la peau, qui entraîne l’apparition de plaques rouges surélevées et de squames argentées sur la peau. On ne sait pas exactement ce qui cause l’apparition du psoriasis en plaques chez certaines personnes, mais des travaux de recherche ont montré qu’il serait lié à un dérèglement du système immunitaire et à un phénomène inflammatoire qui accélère le cycle de croissance des cellules cutanées, lesquelles s’accumulent et s’éliminent à une vitesse anormalement élevée à la surface de la peau.
Qui est à risque d’être atteint de psoriasis en plaques?

Au Canada, environ
2,6 % des gens sont atteints de psoriasis en plaques2,3.
Bien que l’on n’ait pas encore déterminé la cause exacte du psoriasis en plaques, les chercheurs croient que cette maladie est liée à une combinaison de facteurs génétiques, environnementaux et immunitaires2.
Le psoriasis en plaques se transmet-il par contact cutané2?
Non, le psoriasis en plaques n’est pas contagieux. Ce n’est pas une maladie infectieuse.
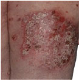
À quoi ressemble le psoriasis en plaques?
Le psoriasis en plaques est caractérisé par divers symptômes2.
Ces symptômes comprennent notamment les suivants :

Plaques rouges surélevées.
Lésions qui apparaissent généralement sur les coudes, les genoux, le cuir chevelu, la poitrine et le bas du dos

Squames argentées qui se détachent de la peau.

Lésions pouvant causer des démangeaisons, des douleurs et des saignements.

Anomalies des ongles.